ORTHODONTISTE À NOGENT-SUR-MARNE

Dr Géraldine Cledes

ORTHODONTISTE À NOGENT-SUR-MARNE

Dr Géraldine Cledes

Soins orthodontiques pour enfants à Nogent-sur-Marne

Appareil interceptif

Orthodontie interceptive

Les traitements dits « interceptifs » c’est-à-dire menés chez des enfants n’ayant pas encore toutes les dents définitives, sont destinés à traiter au plus tôt des anomalies afin d’éviter qu’elles ne s’aggravent avec le temps, n’empêchent l’évolution normale des dents définitives, ou n’altèrent le développement harmonieux, physique et psychologique, de l’enfant. Il peut ainsi s’agir de traiter un décalage de squelette (mâchoire du bas trop en avant ou en arrière), un palais trop étroit, un manque de place sévère, ou des dysfonctions fonctionnelles (bouche ouverte en permanence, langue basse et/ou antérieure, etc…). 

Ces traitements peuvent être menés selon les cas avec des appareils amovibles ou fixes, et parfois des attaches collées sur quelques dents. 

Voici quelques situations pouvant nécessiter une prise en charge précoce.

Béance par interposition de la langue (ou pouce/têtine)

La béance chez l'enfant est une malocclusion où un espace persiste entre les dents supérieures et inférieures lorsqu'elles devraient se toucher. Cette condition est souvent causée par l'interposition de la langue, la succion du pouce ou l'utilisation prolongée de la tétine, exerçant une pression sur les dents et modifiant la croissance des mâchoires.

Pourquoi traiter ?

Un traitement précoce permet de rétablir des contacts incisifs et une mastication efficaces, et d’assurer un fonctionnement, et donc une croissance, harmonieux de la sphère oro-faciale.

Béance par interposition de la langue
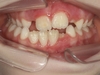
Palais étroit

Palais étroit avec déviation de la mâchoire inférieure et du menton


Un palais étroit peut entraîner une déviation de la mâchoire inférieure et du menton, causant des problèmes de mastication et potentiellement une croissance asymétrique. Il est par ailleurs le plus souvent associé à un défaut d’espace pour l’évolution des dents définitives supérieures, et lié à une position de langue basse associée à une respiration par la bouche.

Pourquoi traiter ?

Un traitement précoce permet de recentrer la mâchoire inférieure et de permettre aux dents définitives d’évoluer normalement. Le rétablissement d’une fermeture efficace des lèvres, d’une respiration nasale et d’une bonne position de la langue est le garant d’une croissance harmonieuse des mâchoires, et participe à la bonne santé générale de l’enfant.

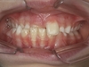
Palais étroit et manque de place pour l'évolution des dents définitives supérieures

Un palais étroit peut entraîner un manque de place pour l'éruption des incisives définitives supérieures, pouvant conduire à une évolution des incisives latérales en arrière des incisives centrales (et donc souvent en inversé d’occlusion avec les dents du bas), voire à une inclusion des canines définitives. Il est par ailleurs le plus souvent lié à une position de langue basse associée à une respiration par la bouche.

Pourquoi traiter ?

Un traitement précoce permet l’évolution normale des dents définitives. Par ailleurs, l’élargissement du palais permet de faciliter le rétablissement d’une respiration nasale et d’une bonne position de la langue, garantes d’une croissance harmonieuse des mâchoires, et participant à la bonne santé générale de l’enfant.

Palais étroit
Manque de place

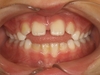
Manque de place pour l'évolution des incisives définitives inférieures

Le manque de place à l’arcade inférieure peut empêcher les dents définitives d’évoluer normalement. Ceci peut se traduire par deux situations cliniques :

  • un encombrement antérieur important (« chevauchement » ou évolution des incisives latérales en arrière des incisives centrales) ;
  • la perte prématurée de dents de lait. Sur la photo, trois incisives définitives ont fait tomber quatre incisives temporaires. Il peut arriver que quatre incisives définitives fassent tomber les quatre incisives de lait, et une ou deux canines de lait. Dans ce cas, les dents paraissent alignées mais il existe malgré tout un manque de place important.

Pourquoi traiter ?

Un traitement précoce permet aux dents définitives d’évoluer normalement, et peut permettre d’éviter les traitements avec extraction de dents définitives à l’adolescence.

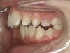
Inversion de l'occlusion des dents antérieures

L'inversion de l'occlusion des dents antérieures, également connue sous le nom d'occlusion croisée antérieure, se produit lorsque les dents inférieures se placent devant les dents supérieures. Cette malocclusion entraîne des problèmes de mastication, et peut induire des usures de l’émail et des problèmes de gencive sur les dents en inversé. Elle peut par ailleurs entraîner une glissement vers l’avant ou le côté de la mâchoire inférieure et en modifier la croissance.

Pourquoi traiter ?

Un traitement précoce permet de rétablir des contacts incisifs et une mastication efficaces, de protéger les dents et leur gencive, et de recentrer la mâchoire du bas si elle est contrainte par la malocclusion.

Inversion de l'occlusion des dents antérieures
Mâchoire du bas en retrait

Mâchoire du bas en retrait

Une mâchoire inférieure en retrait, aussi appelée rétrognathie mandibulaire, se caractérise par une mâchoire inférieure située trop en arrière par rapport à la mâchoire supérieure. Elle est associée à un mauvais positionnement de la langue, et entraîne parfois une difficulté de fermeture des lèvres qui augmente le risque de fracture des incisives définitives en cas de choc.

Pourquoi traiter ?

Un traitement précoce permet de rétablir au plus tôt une croissance harmonieuse de la mâchoire inférieure, et un fonctionnement optimal de la sphère oro-faciale : mastication, fermeture des lèvres, ventilation nasale et bonne position de la langue. Il permet par ailleurs de normaliser le profil, de diminuer l’exposition des incisives supérieures et le risque de fracture de celles-ci.

Difficultés de fermeture des lèvres

Les difficultés de fermeture des lèvres chez l'enfant peuvent être causées par des anomalies de croissance des mâchoires et/ou des difficultés de respiration nasale, souvent associées entre elles. 

Pourquoi traiter ?

Le rétablissement d’une fermeture efficace des lèvres, d’une respiration nasale et d’une bonne position de la langue est le garant d’une croissance harmonieuse des mâchoires, et participe à la bonne santé générale de l’enfant. La ventilation nasale est en effet le garant d’un sommeil de qualité, et permet la filtration, le réchauffement et l’humidification de l’air inspiré. Dans certains cas, une prise en charge ORL devra être associée à la prise en charge orthodontique, les deux se complétant et se potentialisant.

Difficultés de fermeture des lèvres
Mâchoire du bas en avant

Mâchoire du bas en avant

Une mâchoire inférieure en avant, aussi connue sous le nom de prognathisme mandibulaire, se caractérise par une mâchoire inférieure qui dépasse la mâchoire supérieure. Elle peut être ou non d’origine héréditaire, et est toujours associée à une position basse de la langue. Dans certains cas, il ne s’agit pas d’une anomalie squelettique, mais d’un simple glissement de la mâchoire du bas vers l’avant provoquée par des incisives supérieures évoluées trop en arrière.

Pourquoi traiter ?

Un traitement précoce permet de rétablir des contacts incisifs efficaces nécessaires à une croissance osseuse optimale autour des incisives supérieures, une bonne position linguale, et le repositionnement de la mâchoire inférieure lorsqu’il s’agit d’un « glissement ». Dans les anomalies squelettiques vraies, le traitement précoce permet de diminuer le risque d’avoir recours à une chirurgie de mâchoire à l’âge adulte, et si on ne peut l’éviter, d’en améliorer le pronostic et le résultat.

Menton Avancé

Un menton avancé chez l'enfant peut traduire une anomalie squelettique vraie, ou un simple glissement vers l’avant de la mâchoire du bas lié à la position des dents. Dans tous les cas, un traitement précoce est nécessaire.

Menton Avancé

Création par Webdentiste

Connexion